La Gazette

Janvier 2005


Santé

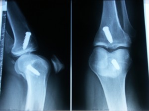
Le genou de Josette est entré en collision avec la tête de Sylvestre. Le médecin craignait une fêlure, mais ce n'est heureusement pas le cas; il y a quand même un hématome et un épanchement pré-rotulien (ce n'est pas pédant, c'est précis). Sur la radio ci-dessous, les vis sont celles de l'opération des ligaments croisés d'il y a deux ans.

Par contre, Sylvestre s'en est beaucoup moins bien tiré.


Anne a une très sérieuse carence en fer, ce qui la fatigue fort. Elle a du mal à digérer ses comprimés de Fer: elle les alterne donc avec une solution liquide (qu'elle supporte mieux, mais qui a, paraît-il, très mauvais goût).


 

Arts Ménagers

En nous promenant au Vieux Marché, nous avons trouvé une machine à coudre Singer identique (au prix près!) à celle que Josette avait acheté le mois passé. Nous l'avons prise pour les pièces détachées. Ca m'a déjà permis de remettre l'autre (à peu près) en état de marche.


 Technologie

Je me suis acheté (dans les soldes) un nouvel appareil photo: un Minolta A2.


 

Zoo

Orthographe a dû se faire détartrer, et la vétérinaire en a profité pour lui enlever deux canines très abîmées, qui le faisaient souffrir. Après 2 semaines, il va effectivement beaucoup mieux.


Anne a passé la dernière semaine du mois chez Valérie, pour garder son chien, son chat et son appartement pendant que Valérie skiait avec son bébé.


Widu souffre d'un pied, pour une raison que la vétérinaire ne parvient pas à déterminer. Il va devoir passer quelques semaines chez cette dernière.


 

 <<<retour