| La Gazette | le 9 février 2003 |
||
|
|||
salle d'op |
|
|
|
|
|
|
|
![]() |
enlèvement d'un ménisque |
|
|
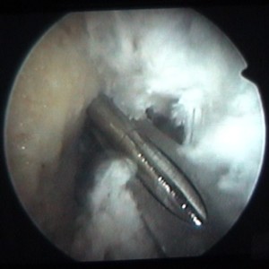
on voit la tête de la vis au milieu de la clé plate |
et le corps de la vis en-dessous |
|
|
|
|
|
|
|
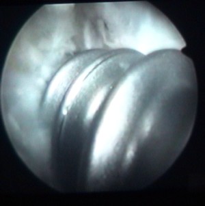
cette vis sert à attacher le ligament |
et elle est maintenant vissée à fond |
|